One Piece 903 Raw
Viz One Piece Manga
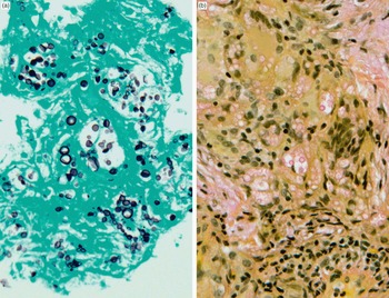
Granulomatous Lung Disease Chapter 2 Non Neoplastic Pulmonary Pathology
2
2
One Piece Kapitel 1100 Youtube
Kelsey Randall Shop Collection Iii Collection Iii Gold Silk Cut Out Mini Dress
Read One Piece 985 Spoilers, One Piece Manga 985 Raw Scans Releasing Soon.
One piece 903 raw. One Piece, Chapter 979;. Join the online community, create your anime and manga list, read reviews, explore the forums, follow news, and so much more!. Facebook WhatsApp Twitter Reddit Pinterest.
Chapeau de paille face au meilleur yokozuna !. July 11, 0 comment. Rész magyar felirattal NKWT Naruto-Kun.Hu 1443 videó 2330 követő 23 0 0.
July 17, 0 comment. Read One Piece 976 Official Spoilers, Raw Scans, Jinbe’s Return;. Toggle navigation RAW MANGA UPDATE.
Read One Piece Chapter 9 Spoiler, Raw and Scans Online. Luffy terlihat sangat menikmati pertandingan ini, Hingga Luffy menggunakan Jurus pamungkas nya. WANO KUNI (2-Current) Episode 903 - A Climactic Sumo Battle!.
You’re read manga online One Piece Chapter 903 online at Manga Rock.Use F11 button to read manga in full-screen(PC only). One Piece 904 Confirmed Spoiler「ワンピース ネタバレ」 第904話. One Piece 9 raw scans and spoilers will be released on 19 August.
It has been serialized in Shueisha’s Weekly Shōnen Jump magazine since July 22, 1997, and has been collected into 94 tankōbon volumes. One Piece Chapter 990 Release Date According to our information get or sources, and the One Piece Chapter 990 be offical released on 13th sep. Skip to the content.
Ver One Piece 903, descargar One Piece 903 hd, watch One Piece 903. Szexuális tartalom Erőszakos tartalom. One Piece 990 raw scans and spoilers will be leaked in a day or two.
One Piece Chapter 9 (Spoiler and Raw). Wan Pīsu) is a Japanese manga series written and illustrated by Eiichiro Oda. A Climactic Sumo Battle!.
Read manga One Piece - Raw Chapter 903 with high quality images, update fastest at MangaSum. And raw scanning of the new chapters will be released 2-3 days before its chapters are published. Read One Piece 903 english, One Piece 903 raw manga, One Piece 903 online, One Piece 903 chap, One Piece 903 chapter, One Piece 903 high quality, One Piece 903 manga scan.
Watch all episodes of One Piece and follow Monkey D. One Piece episode 903 nyaa torrent download. One Piece Chapter 990 Spoilers, Leaks and Theories.
#onePiece #OnePieceEp903 one piece 903 english sub, one piece 903 english sub full episode, one piece 903 sub, one piece 903 eng sub, one piece 903 preview,. In my opinion, he will not fight Roronoa Zoro and Monkey D Luffy and just talk to them. If you've just set sail with the Straw Hat Pirates, be wary of spoilers on this subreddit!.
You can use left and right keyboard keys to browse between pages. Prev Chapter Index Next Chapter. All in one page;.
They will be uploaded by August. The Fifth Emperor - Page 1. They need to be scanlated for fans to enjoy.
The Strongest Ever Yokozuna!. OP subreddit is another. My Hero Academia 267, Read Boku no Hero Academia Spoilers;.
One Piece, Chapter 903. Start your free trial today!. Click ngay để là người xem truyện đầu tiên.
One Piece 990 raw scans will be released this week on 9th September and once the raw scans are out, scanlation teams start the translation process and once the English raw scans are out, spoilers get shared. The Strongest Ever Yokozuna!" Luffy, Zoro and Okiku are hot on Otama's trail on One Piece, diving into Bakura Town with the intent of saving the girl from the villainous Holdem.However, along the way, they found themselves caught up in a sumo wrestling tournament. One Piece 990 chapter will show how the team finally takes out a Yonko but before that, they need to handle King and Queen.
Subscribe Login One Piece Manga;. Since Jaiminisbox stopped doing scanlations the One Piece chapters have been mediocre in quality and now the raw scans get delayed. One Piece Episode 931 Release Date, Spoilers, Predictions.
He’ll enquire about their goals and objectives of being at Wano Country. Wan Pīsu) is a Japanese manga series written and illustrated by Eiichiro Oda. Now these are just raws.
One Piece Episode 932 Preview, Release Date Released. "A Climactic Sumo Battle!. Volume 90 is titled "The Holy Land Mary Geoise".
One Piece anime 903. 903 - Page 2. You're reading One Piece 903, please read One Piece 903:.
One Piece 986 Raw, One Piece chapter 986 Spoilers and Release date Tanya - July 27, 4 What is up One Piece fans, with how things have been going seems like we've basically switched to a biweekly schedule at. All in one page;. I think at the start of the chapter we’ll see what Basil Hawkins’ intentions are.
Ruffy ist 17 Jahre alt und hat ein großes Ziel:. Chapter 903 english scan online from right to left. Kérjük, add meg e-mail címed, ahol fel tudjuk venni veled a kapcsolatot.
Irgendwo habe ich den größten Schatz der Welt versteckt. One Piece Episode 903 Diposting oleh Yoru , Rilis 11 months ago, Lihat episode lainnya di series One Piece Nonton Streaming Anime One Piece Episode 903 Subtitle Indonesia Terbaru:. July 5, 0 comment.
The Strongest Ever Yokozuna!. The world's most popular manga!. Spoilers for One Piece Episode 903:.
The cover is maroon, the title logo is yellow, and the author's name is written in gold. The Title of the next Chapter is, The Fifth Emperor. Weekly Shonen Jump is on a break next week.
Click on the One Piece 903 manga image to go to the next page. Toggle navigation RAW MANGA UPDATE. Read free or become a member.
One Piece Chapter 9 Release Date:. Luffy and his swashbuckling crew in their search for the ultimate treasure, the One Piece. One piece capitulo 903 español ترقبوا جديد الحلقات معكم رضوان.
From the East Blue to the New World, anything related to the world of One Piece belongs here!. Latest One Piece Manga Chapter in High Quality. Den könnt ihr haben!.
One Piece 903 released in mangareader fastest, recommend your friends to read One Piece 903 now!. Garp, Karoo, Nefertari Vivi, Leo, Bartholomew Kuma, Jewelry Bonney, Wapol, and Shirahoshi in a circle around Luffy's. 11:00 One Piece Manga Takes 1-Week Break 09:03 Rent-A-Girlfriend Anime's New Ad Unveils More Cast, July 10 Premiere 09:00 Collar x Malice Game's English Switch Release Previewed in Video.
One Piece Chapter 976 Delayed, Read One Piece 976 Spoilers. Hawkins Joins Hands With Monkey D Luffy. Damit brach das große Piratenzeitalter an…“ Monkey D.
Never thought that the record of chapter 900 of being the most upvoted chapter would get broken this soon. 903 - Page 1. The twelfth chapter of the Zen ceremony!.
One Piece Chapter 903 :. It has been serialized in Shueisha’s Weekly Shōnen Jump magazine since July 22, 1997, and has been collected into 94 tankōbon volumes. One Piece, Chapter 981;.
One Piece 904 is just 2 days away, the manga has been on break for about two weeks now, thanks to the Golden Week, and because of that, fans are much more hyped than they usually are. One Piece chapter 903 is now the most upvoted chapter on this subreddit. Now, coming to the spoilers of One Piece 913.
One Piece 990 raw scans and spoilers will be leaked in a day or two. The cover features the Empty Throne in the far background, and Nefertari Cobra, Rob Lucci, Hattori, Sabo, Rebecca, Mansherry, Monkey D. Read One Piece Chapter 986 Spoiler Raw, One Piece Chapter 986 Spoiler Raw manga, One Piece Chapter 986 Spoiler Raw online, One Piece Chapter 986 Spoiler Raw 01 chapter, One Piece Chapter 986 Spoiler Raw high quality, One Piece Chapter 986 Spoiler Raw manga scan,30 July , Mangageez.
One Piece Manga Chapter 970 Raw Scans Release Date. So here you go, here you can read all One Piece 9 Spoilers. Read Online One Piece Ch.
Luffy sets out on his adventure…one guy alone in a rowboat, in search of the legendary “One Piece,” said to be the greatest treasure in the world. Er will König der Piraten werden und den Schatz „One Piece“ finden!. It has been serialized in Shueisha’s Weekly Shōnen Jump magazine since July 22, 1997, and has been collected into 94 tankōbon volumes.
Posted by u/deleted 2 years ago. One Piece 903 Official Spoilers:. Read Online One Piece Ch.
#1 resource for One Piece Scans Online. The last chapter saw the beginning of the Reverie arc in One Piece. Welcome to r/OnePiece, the community for Eiichiro Oda's manga and anime series One Piece.
Subscribe Login One Piece Manga;. Dieser Schatz ist das One Piece und er liegt irgendwo auf der Grandline. One Piece chapter 903 is now the most upvoted chapter on this subreddit.
It has been serialized in Shueisha’s Weekly Shōnen Jump magazine since July 22, 1997, and has been collected into 94 tankōbon volumes. | One Piece - Join Monkey D. Holdem tries to pull off Tama's cheek until Luffy sends Urashima crashing into Holdem's residence.
Drop by anytime you want to read free – fast – latest manga. Download Anime One Piece Episode 903 Sub Indo. Read manga One Piece - Raw Chapter 902 with high quality images, update fastest at MangaNT.
Wan Pīsu) is a Japanese manga series written and illustrated by Eiichiro Oda. One Piece Invincible Chapter 903. One Piece 903 Vostfr en Streaming Combat de sumo.
The Strongest Ever Yokozuna!" is the 903rd episode of the One Piece anime Luffy faces against Urashima in a sumo match. One Piece 970 raw scans are going to be released this Friday and we can’t wait to read them online. Yokuzuna pun tak henti-henti melontarkan Serangan kepada Luffy.
One Piece Chapter 990 will be released on Sunday, September 13. Hola amigos hoy les vengo a traer el Capitulo 903 de One Piece Sub Español que es trasmitida por FujiTv todo los Sábados a las 6:00pm Hora (Perú, México) y sub español 2 horas después por nuestra web.También recuerda que usted puede descargar el episodio 903 de One Piece a su Pc, Movil o tablet, no olvides comentar y compartir One Piece con tus amigos del facebook y twitter. Wan Pīsu) is a Japanese manga series written and illustrated by Eiichiro Oda.
You can use left and right keyboard keys or click on the One Piece 903 image to browse between One Piece 903:. One Piece, Chapter 903. "A Climatic Sumo Battle - Straw Hat vs.
Luffy on his quest to claim the greatest treasure, the legendary One Piece, and become the Pirate King. If you want discussion, please sort the subreddit by New. There are no official sites to read the One Piece raw, so we will be sharing them here once they are out.
Read the topic about One Piece Episode 903 Discussion on MyAnimeList, and join in the discussion on the largest online anime and manga database in the world!. Here are more details on One Piece chapter 990 release date delay, spoilers, theories, raw scans leaks, and ways to read online the manga series. One Piece 903 Sub Indo – Diepisode kali ini One Piece akan berduel melawan Yokuzuna dari Negeri Wano.
Http Www Fdrlibrary Marist Edu Resources Images Psf Psf0003 Pdf
Showing Gallery 903
Tj0sasajhonznm
Q Tbn 3aand9gcswvvdr S19kudzejr3n8ldtjjjvltkkyidp0q4hxgzi5rkxh0b Usqp Cau
One Piece Chapter 879 Onepiece
One Piece Manga Online One Piece 9
2
Read One Piece Chapter 987 English Translated Manga Mangahype Com
Countyjournal Org Clients Countyjournal June1418 Pdf
One Piece 903 Raw Read Manga Online Mangareddit Com
Showing Gallery 903
2
One Piece Kapitel 1100 Youtube
Single Particles As Resonators For Thermomechanical Analysis Nature Communications
100 Greatest Guitar Albums From Rock Roll Hall Of Famers Cleveland Com
Random101 One Piece Chapter 903 Raw Spoiler Luffy Facebook
2
Emperor Or Not A Emperor One Piece 903 Raw One Piece Amino
Mn7o9oc3gbblcm
Log In Tumblr Almirantes One Piece Personagens De Anime Anime
Q Tbn 3aand9gcs4ypzkyuc0 Jqbw9nfqwdnjegbf0pcv5fdion 5j9etjd36j1g Usqp Cau
One Piece Old Spoiler ワンピース Pagina 123
Igcsljr Hpkfmm
Viz Read One Piece Chapter 903 Manga Official Shonen Jump From Japan
Spink2 Deficiency Causes Infertility By Inducing Sperm Defects In Heterozygotes And Azoospermia In Homozygotes Embo Molecular Medicine
Todo Manga Anime One Piece 903 Raw Hd Japones Onepiece903 Manga Onepiece T Co Luzf4du7bh
One Piece Chapter 990
Amazon Com Handmade Goat Milk Soap Oatmeal N Honey Soap 2 Pack 4 5oz Bar Bath Soaps Beauty
One Piece Chapter 903 The Fifth Emperor Reaction And Analysis One Piece Amino
Rmngdxichrkgsm
A Comparison Of Lyse It To Other Cellular Sample Preparation Bacterial Lysing And Dna Fragmentation Technologies
A Comparison Of Lyse It To Other Cellular Sample Preparation Bacterial Lysing And Dna Fragmentation Technologies
Q Tbn 3aand9gcqq8 0jm1hdc8h1u Re07kxxpsomrqo6xcqhhxndtburjd Kjyf Usqp Cau
Www Jstor Org Stable 97
動画 ワンピース 903 ワンピース 903 ネタバレ One Piece Raw 903 Manga One Piece 903 動画で映画考察 ネタバレや考察 伏線 最新話の予想 感想集めました
Texas Raw Honey 1 Pound Jar Etsy
One Piece Toei Animation
Manga Of One Piece Anime Chapter 903 Full Luffy The Fifth Emperor Steemit
Nowmagazines Com Onlineeditions Editions 19corsicana Pdf
Luffy Vs Akainu Full Length Hand Drawn Chapter One Piece Fanpage
One Piece Chapter 904 Spoilers The Start Of The Wano Arc
Qpwcht5q45rohm
Q Tbn 3aand9gcswvvdr S19kudzejr3n8ldtjjjvltkkyidp0q4hxgzi5rkxh0b Usqp Cau
One Piece Chapter 904 Spoilers The Start Of The Wano Arc
The Stories Of The Self Proclaimed Straw Hat Grand Fleet One Piece Wiki Fandom
Help Danish Oil Disaster Finishing Wood Talk Online
For6 18 7plus X6 2 1 2 18 3 1 Mobile Shell Comfortable Texture Soft Tpu Silicone Back Cover Hard Cell Phone Cases Jeweled Cell Phone Cases From Bald98 4 38 Dhgate Com
Kelsey Randall Shop Collection Iii Collection Iii Gold Silk Cut Out Gown
One Piece Manga Online One Piece 9
Lakekiowaconnect Nabrnetwork Com Files 33 Dyn 08 12 Pdf
2
Spoiler One Piece 817 Spoiler Discussion
2
Manga Of One Piece Anime Chapter 903 Full Luffy The Fifth Emperor Steemit
Nm Ttqwxpenm M
One Piece Episode 1000 Gear 5 Luffy Vs Akainu Final War ワンピース Youtube
Sadar Nggak Ada Weevil Dan Vegapunk Di One Piece 903
500 Best Op Images In One Piece Anime One Piece One Piece Manga
Lakekiowaconnect Nabrnetwork Com Files 33 Dyn 08 12 Pdf
One Piece Chapter 904 Spoilers The Start Of The Wano Arc
One Piece Anime Planet
Online Menu Of El Pueblito Restaurant Summerville Georgia Zmenu
One Piece Toei Animation
One Piece Anime Planet
2
2
Luffy 1 5 Billion Bounty Luffy Prime 1 5 Milliard Chapter 903 One Piece Anime One Piece Meme De One Piece One Piece Manga
Manga Of One Piece Anime Chapter 903 Full Luffy The Fifth Emperor Steemit
Rmngdxichrkgsm
Brazil Archives Brazilian American Chamber Of Commerce
Rmngdxichrkgsm
Psychotti Art Caldwell Street South Australia
One Piece Chapter 903 The Fifth Emperor Reaction And Analysis One Piece Amino
Volume 90 One Piece Wiki Fandom
Random101 One Piece Chapter 903 Raw Spoiler Luffy Facebook
One Piece Episodes
Read One Piece Chapter 476 Mymangalist
Manga Of One Piece Anime Chapter 903 Full Luffy The Fifth Emperor Steemit
Manga Of One Piece Anime Chapter 903 Full Luffy The Fifth Emperor Steemit
One Pace
Captain S
Manga Of One Piece Anime Chapter 903 Full Luffy The Fifth Emperor Steemit
Todo Manga Anime One Piece 903 Raw Hd Japones Onepiece903 Manga Onepiece T Co Luzf4du7bh
The Shocking New Straw Hat Luffy Bounty One Piece Bounties Revealed Anime Amino
List Of Giant Squid Specimens And Sightings Wikipedia
Www Instrumentsystems Com Fileadmin Downloads Brochures Datasheets Dms Series En Pdf
2
One Piece Myanimelist Net
One Piece Chapter 785 Page 16
Brooksbulletin Com Wp Content Uploads 07 July29 1 Pdf
Exposure To Substances Via Food Consumption Springerlink
Form And Function In Human Song Sciencedirect
The Stories Of The Self Proclaimed Straw Hat Grand Fleet One Piece Wiki Fandom
The Stories Of The Self Proclaimed Straw Hat Grand Fleet One Piece Wiki Fandom
Dp Studio Robe Decoupe Sport 903 By Mydress Made Project Sewing Dresses Kollabora
2
Showing Gallery 903
Episode 903 Raw Foro De One Piece Pirateking


